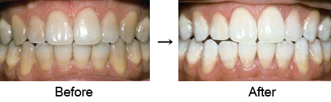
ホワイトニング
ホワイトニングとは、歯みがきや歯のクリーニングなどでは落としきれない歯の着色をきれいにし、歯を白くする方法です。
以前は、歯を白くするには歯の表面を削ったり、人口歯をかぶせたり、 歯の表面に薄い板状の膜を貼り付けたりする方法が採用されていましたが、現在は安全性の高いホワイトニングが主流となっています。

ホームホワイトニング
「ホームホワイトニング」は、ご自宅や通勤時間などを利用して、好きな時間に歯を白くしていく方法です。 あなたの歯型に合わせたマウスピースを作成し、そこに歯を白くするホワイトニングジェルを流し込んで 毎日1~2時間装着します。ホワイトニングジェルが、だんだんと歯に浸透し、ゆっくりと歯を白くしていきます。 通常1週間程度から効果が出始め、2週間~2ヶ月程度で希望の白さまで白くすることが出来ます。
オフィスホワイトニング
「オフィスホワイトニング」は、歯に専用の薬剤を塗布し、光を当てて歯を白くする方法がです。 短時間で歯を白くできるので、即効性のあるホワイトニング方法と言えます。
デュアルホワイトニング
ホームホワイトニングで、ホワイトニング剤を浸透させながら、 平行してオフィスホワイトニングを2~3回繰り返すことで、相乗効果を出していきます。 目標の白さに到達するまでの時間を大幅に短縮でき、白さも長期間維持することができます

